Implant Essentials
Back
Why Dental Implants
Full-Mouth Dental Implants
Implant Cost & Affordability
LAPIP® For Failing Implants
Implant Maintenance
Cosmetic Dentistry
Back
Enhance Your Smile
Porcelain Veneers
Same-Day CEREC® Crowns
Teeth Whitening
Invisalign® & Orthodontics
Additional Services
Back
General Dentistry
Periodontics
LANAP® Gum Treatment
Oral Surgery
Full & Partial Dentures
Sleep Apnea
TMD Therapy
Full Mouth Reconstruction
Emergency Dentistry
For Our Patients
Back
New Patient Forms
Insurance & Financing
Patient Stories
Before & After Photos
Conditions We Treat
Sedation Dentistry
Who We Are
Back
Why Choose Us
Richard A. Assing, DDS, PA
Brenton N. Assing, DDS
Video Library
Blog
Contact Us
Back
Schedule Today
Contact Us
Directions
Call Us
New Patient Number
Current Patient Number
Close
before & Afters Photo - Brandon, FL
The Proof Is
In Our Patients
Before & After Photos
All
Dental Implants
Porcelain Veneers
Teeth Whitening
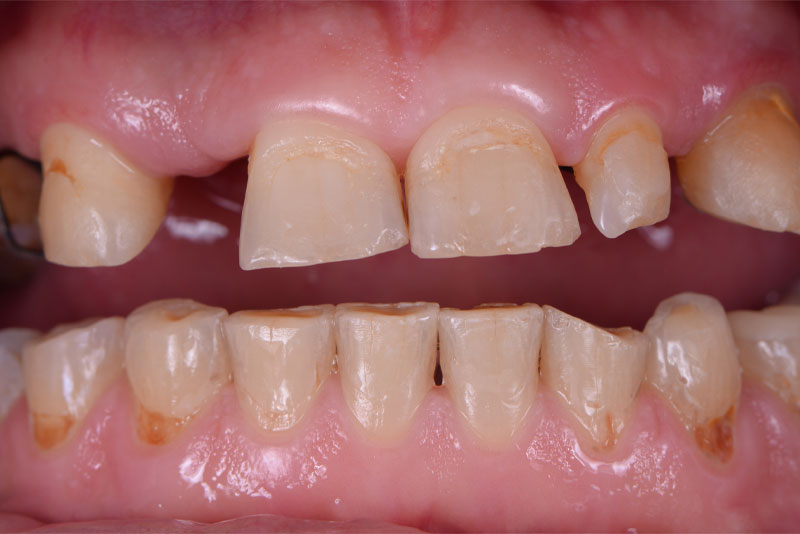
Before
After
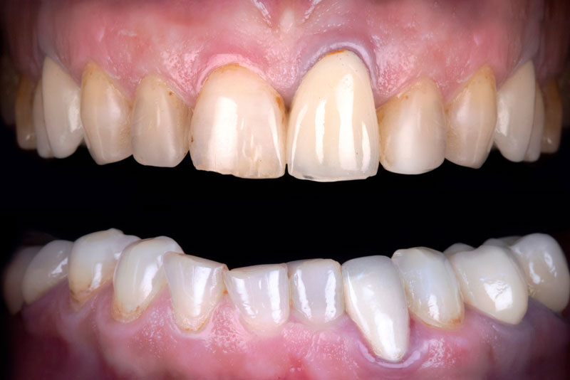
Before
After
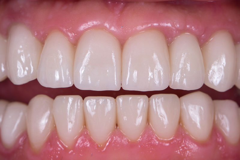
Before
After
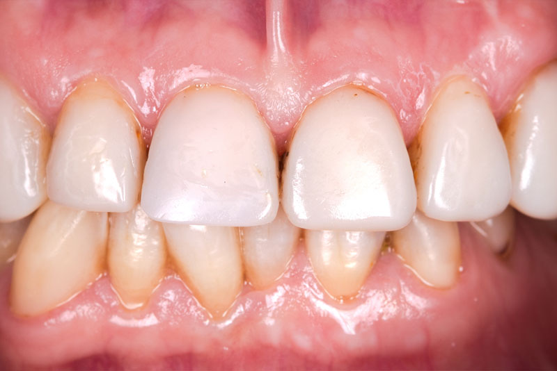
Before
After